Существует несколько методов коррекции клыков без установки брекетов. Один из них — использование элайнеров, которые представляют собой прозрачные накладки на зубы, аккуратно выравнивающие их положение. Эти устройства позволяют добиться желаемого результата без заметного orthodontic вмешательства.
Также можно рассмотреть альтернативные варианты, такие как ортодонтические пластинки, которые применяются для исправления прикуса и выравнивания зубов. Важно проконсультироваться с врачом-ортодонтом, чтобы определить наиболее подходящий вариант в зависимости от индивидуальных особенностей и состояния зубов.
Исправление клыков с помощью брекетов
При анализе различных проблем с зубными рядами чаще всего обнаруживаются искривленные клыки. Статистика сообщает, что каждый третий пациент ортодонта стремится исправить их положение. К числу возможных аномалий клыков относятся:

- значительное выпирание клыков из челюстей, напоминающее вампира;
- избыточная или, наоборот, недостаточная длина коронки;
- перекрытие клыков соседними зубами, расположенными впереди;
- неполное прорезывание;
- поворот под неправильным углом в любую сторону.
«Улыбка вампира» выглядит несимпатично и плохо сказывается на жевании пищи, что может приводить к нарушениям в работе желудочно-кишечного тракта. Поэтому важно как можно скорее решить проблему искривления.
Исправление клыков с помощью брекетов не только улучшает эстетичный вид улыбки, но и играет важную роль в правильной функции зубочелюстной системы. Клыки отвечают за важные функции, такие как захват и разрыв пищи, поэтому их правильное положение критично для здоровья зубов и десен.
В зависимости от степени искривления и индивидуальных особенностей пациента, ортодонт может предложить разные варианты лечения, включая традиционные металлические, керамические или невидимые брекеты. Процесс исправления может занять от нескольких месяцев до нескольких лет, но результаты стоят затраченных усилий.
Важно понимать, что исправление клыков — это не только эстетическая процедура, но и способ предотвратить возможные стоматологические проблемы в будущем. Регулярные визиты к ортодонту и следование его рекомендациям помогут достичь успешного результата и сохранить здоровье зубов на долгие годы.
Методы борьбы стоматологов с дистопией клыков
Определить искривление клыков несложно — стоматологу достаточно провести визуальный осмотр полости рта пациента. При выборе метода лечения учитываются такие факторы, как:
- возраст пациента;
- характер самой аномалии;
- степень серьезности стоматологической проблемы.
Для коррекции положения клыков врач может применять следующие методы:
- установку брекет-систем на клыки;
- использование капп;
- удаление зубов «восьмерок», если они являются причиной аномалии;
- превращение первого моляра в клык, если последние отсутствуют;
- репозицию, используемую только в самых сложных случаях.

Ранняя терапия искривления обеспечивает более высокие шансы на успешное и быстрое устранение проблемы. У детей младше 12 лет рекомендуется использовать съемные пластинки, что обычно позволяет достичь желаемого результата за шесть месяцев. Подростки, которым уже исполнилось 14 лет, могут воспользоваться брекетами для того, чтобы вернуть клык на его естественное место. Взрослым зачастую требуется не только ношение брекетов, но и небольшая хирургическая операция.
Что делать, если клыки сильно выпирают?
Наиболее разумный ответ на вопрос «Что делать при выпирающих клыках?» — это обратиться к квалифицированному ортодонту. При первой консультации специалист объяснит пациенту и его родителям, что для исправления положения клыков поможет ношение брекетов.
В начале лечения врач назовет примерные сроки и стоимость, которую определяет выбранная брекет-система. Он также предупредит о возможных сложностях, которые будут уточнены после детальной диагностики. Специалист расскажет, какие обследования нужно пройти, как будет проходить процесс исправления прикуса с помощью брекетов и какие шаги предстоит сделать. Если пациент согласен на лечение, врач предоставляет подробный план дальнейших действий. Пациенту требуется пройти фотометрию, сделать панорамный снимок зубов, слепки, ТРГ в боковой проекции и посетить остеопата и гигиениста.

Комментарий специалиста-ортодонта: «С проблемой торчащих клыков мы сталкиваемся постоянно. Часто нехватка пространства для клыков возникает из-за недоразвития челюстей в детстве. Основная причина — недостаток жевательной нагрузки, так как современные дети едят более мягкую пищу.
При недостаточной жевательной нагрузке замедляется рост челюстей, что в свою очередь приводит к нехватке места для постоянных зубов. Клыки меняются после резцов и премоляров, и им часто не хватает места в зубном ряду. Если у вашего ребенка в возрасте 11-13 лет клыки не встали на место, обязательно обратитесь к ортодонту. Это наиболее благоприятное время для лечения».
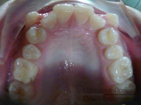
Фотометрия перед началом ортодонтической терапии:
![]() | ![]() |

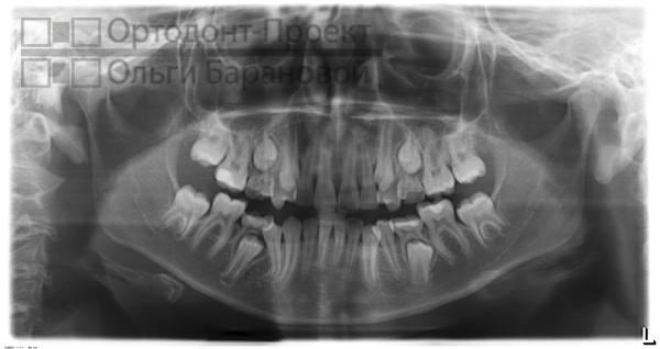
Панорамный снимок зубов до начала курса лечения:

Врач-ортодонт поставил диагноз: скученность зубов на верхней челюсти. Рекомендуется установка брекет-системы Damon, которая отличается наличием двух пазов в замке брекета. На одной из стадий терапии доктор применит две дуги: первая будет отвечать за движение клыков, а вторая – за фиксацию резцов, чтобы избежать их смещения под воздействием клыков. Металлические брекеты Damon представляют собой современное и оптимальное решение. Их главные преимущества заключаются в доступной цене, компактных размерах и высокой эффективности, при условии правильного расчёта со стороны врача.
Стратегия лечения состоит из нескольких этапов: последовательная установка брекетов, расширение верхней челюсти для создания пространства, перемещение выступающих клыков на освободившиеся места с поддержкой резцов, использование ортодонтических эластиков для формирования точных межзубных контактов, а также период ретенции, чтобы закрепить результаты после снятия брекетов.
Важно помнить, что успешность ортодонтического лечения во многом зависит от соблюдения рекомендаций врача. Пациенты должны быть готовы к тому, что следование правилам гигиены полости рта станет особенно важным в процессе ношения брекетов, так как их наличие может затруднять доступ к зубам для чистки.
Кроме того, стоит обсуждать с ортодонтом такие моменты, как питание во время лечения. Некоторые твердые и липкие продукты могут повредить брекеты или затруднить процесс их очистки, поэтому диета должна быть скорректирована с учетом рекомендаций специалиста.
Регулярные посещения ортодонта для контроля процесса лечения также играют ключевую роль. Обычно такие визиты предполагают коррекцию брекетов и планирование дальнейших шагов, включая возможные дополнительные процедуры, такие как экстракция зубов при необходимости.
А начнем с ортодонтической терапии
Перед тем как установить брекеты, пациент проходит процедуру профессиональной чистки зубов у специалиста по гигиене. Врач тщательно очищает зубы, убирает налет (мягкий и твердый), оценивает состояние десен, полирует эмаль и предоставляет рекомендации по уходу за зубами на период ношения брекетов. Стартовые пациенты, решившие начать лечение с помощью брекетов, получают специальный гигиенический набор, который включает ортодонтическую щетку, зубную пасту, ершики, зубную нить, монощетку и воск.
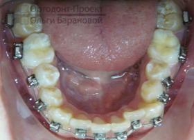
Брекеты Damon установлены:
![]() | ![]() |

![]() | ![]() |
На текущем этапе ортодонтического лечения использование брекетов сфокусировано на расширении зубного ряда в области второго и четвертого зубов, при этом на системе установлены специальные пружины.
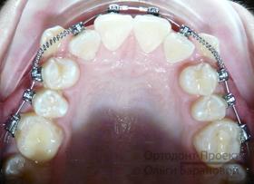
Через пять месяцев начинается новый этап — возвращение клыков на их естественное место в зубном ряду. Вторая дуга обеспечивает стабильное положение передних резцов.

Как вернуть клыки на место?
Выбор метода лечения зависит от степени выраженности и типа дентальной патологии, а также от возраста пациента. Для детей младше 12 лет предпочтительнее применить специальные съемные и несъемные конструкции:
- ночные капы;
- мягкие зубные пластинки, которые удобно носить в течение длительного времени;
- трейнеры, которые воздействуют на конкретные зубочелюстные нарушения.
Важно отметить, что лечение должно проводиться под наблюдением врача-стоматолога. Регулярные проверки помогут отслеживать прогресс и при необходимости корректировать ортодонтическую терапию. Также стоит обратить внимание на вечерние и утренние ритуалы ухода за зубами, чтобы избежать ухудшения состояния зубочелюстной системы.
Для подростков и взрослых могут применяться более сложные ортодонтические конструкции, такие как брекеты или элайнеры, которые обеспечивают более точное и долговременное выравнивание зубов. Выбор метода лечения должен обсуждаться с врачом на основе индивидуальных особенностей.
Особенности коррекции клыков с помощью брекетов
Коррекция может быть проведена как с удалением зубов, так и без него. Оба подхода позволяют создать пространство, необходимое для возвращения клыков в правильное положение. Решение о наилучшем варианте принимается, исходя из клинической ситуации.
- При отсутствии удаления зубы постепенно удлиняются за счет брекетов, при этом врач должен оценить влияние данного процесса на пропорции лица.
- Если после лечения произойдут негативные изменения внешности (например, передние зубы существенно выйдут вперед), тогда потребуется удалить несколько зубов — обычно первых премоляров.
Пациенты нередко задаются вопросом: возможно ли установить брекеты только на одну челюсть? Дистопированные клыки как раз подпадают под это определение. Если необходимо выравнять клыки верхней челюсти с небольшими изменениями в нижней, установка брекетов на нижней челюсти может быть проведена позже, что зачастую оказывается более экономичным вариантом для пациентов.
Показания для удаления
Удаление нижнего или верхнего клыка может стать необходимым при следующих медицинских показаниях:
- Подвижность третьего зуба III–IV степени.
Удаление клыков: показания и противопоказания
Когда необходимо удаление клыков
Удаление клыков может потребоваться в таких случаях:
- Кариес привел к разрушению зуба, сделав корень непригодным для сохранения.
- Перелом корня клыка или наличие трещины.
- На корне появилась крупная зубная киста, которая мешает провести успешное лечение каналов или резекцию корня.
- Зуб находится в неправильной позиции и не может быть подрезан с помощью ортодонтической терапии.
- Инфекция вокруг корня зуба, которая не поддается лечению антибиотиками и может угрожать соседним зубам.
- Парадонтит, приводящий к значительному loosening зуба и его подвижности.
- Состояния, при которых зуб мешает нормальному прикусу или вызывает дискомфорт при жевании.
- Если клык подвергается постоянному травмированию из-за аномалий в прикусе, что может привести к дополнительным повреждениям.
Перед удалением клыка стоматолог проведет полное обследование, которое может включать рентгенографию, чтобы определить состояние зуба и его корней. Это даст возможность оценить все доступные варианты лечения и необходимость удаления зуба в конкретном случае.
Удаление клыка — это серьезная процедура, поэтому важно следовать рекомендациям врача после операции для снижения риска осложнений и быстрейшего восстановления.
Противопоказания для удаления
Операция может быть противопоказана в следующих ситуациях:
- Неотложные состояния. Если при обращении у пациента возникает гипертонический криз или подозрение на декомпенсированный диабет, сначала необходимо оказать экстренную помощь.
- Аллергия на местные анестетики. В таких случаях пациенту рекомендуют пройти аллергопробы для подбора безопасных медикаментов. В редких ситуациях, когда пациенту противопоказаны все местные анестетики, удаление производится под общим наркозом.
- Проблемы со свертываемостью крови. Данные состояния могут возникать из-за приема разжижающих препараты или заболеваний, таких как гемофилия. В этом случае пациенту следует обратиться к терапевту или в больницу для наблюдения.
- Наличие воспалительных, вирусных или бактериальных инфекций в полости рта. В таком случае удаление зуба откладывается до полного выздоровления.
Не нужно удалять «лишние» клыки!
Помните, что лишние зубы не существуют, и каждый зуб выполняет свою функцию. Если врач предлагает удалить верхний клык или любой другой зуб, прежде чем согласиться, проконсультируйтесь с другими специалистами в клиниках.
Если возникают проблемы с кривыми зубами у вашего ребенка, вам понадобится специалист по детской ортодонтии. Врачебный состав нашей клиники готов помочь как детям, так и взрослым, справляясь с проблемами без удаления зубов.
Где лучше всего исправлять прикус?
Клиника «Ортодонтика» осуществляет услуги по лечению пациентов с 1998 года. Мы являемся одной из первых клиник в Москве, которые занимаются ортодонтией, специализируясь на исправлении прикуса с помощью современных методов и оборудования.
Наш опыт позволяет предоставлять высококачественное лечение с использованием различных ортодонтических систем — от детских пластинок до элайнеров для взрослых.
Главный врач клиники — Полунова Оксана Васильевна, врач высшей категории, имеющая более 28 лет практического опыта в данной области. Мы гарантируем высококвалифицированную помощь в области ортодонтии.

Запишитесь на прием в клинику «Ортодонтика» и получите квалифицированное медицинское обслуживание от опытных ортодонтов.






