Проверка состояния легочной артерии важна для диагностики заболеваний, таких как легочная гипертензия, тромбоэмболия и других сердечно-сосудистых заболеваний. Существуют несколько методов, позволяющих оценить состояние этой артерии.
Методы проверки
- Ультразвуковое исследование (УЗИ): Позволяет визуализировать легочную артерию и оценить параметры кровотока. Допплерография позволяет оценить скорость кровотока через артерию.
- Компьютерная томография (КТ): Используется для детальной оценки состояния сосудов и может выявить наличие тромбоэмболий или других аномалий.
- Рентгенография органов грудной клетки: Позволяет оценить размер и форму легочной артерии, а также исключить другие заболевания легких.
- Ангиопульмонография: Специфический метод, позволяющий визуализировать легочные сосуды с помощью инъекции контрастного вещества.
- Эхокардиография: Этот метод позволяет оценить давление в легочной артерии и выявить признаки перегрузки правых отделов сердца.
Когда обращаться к врачу?
Если у вас есть симптомы, такие как одышка, боли в груди, учащенное сердцебиение или низкая насыщенность кислородом, следует немедленно обратиться к врачу для проведения диагностики и получения необходимого лечения.
Регулярное медицинское наблюдение поможет в раннем выявлении и профилактике заболеваний, связанных с легочной артерией.
Тромбоэмболия легочной артерии (ТЭЛА)
Тромбоэмболия легочной артерии (ТЭЛА) представляет собой блокировку легочной артерии или ее ветвей тромбообразующими массами, что может привести к серьезным нарушениям в легочной и системной гемодинамике. К основным симптомам относятся тахикардия, коллапс, а также цианоз на лице и шее. Лечение включает инфузионную терапию, тромболизис и кислородные ингаляции.

Наиболее часто встречающиеся причины заболевания включают в себя:
- септические процессы;
- тромбоз глубоких вен нижних конечностей и нижней полой вены;
- различные патологии сердечно-сосудистой системы;
- онкологические заболевания и тромбофилию;
- антифосфолипидный синдром.
Существуют факторы риска, способствующие развитию ТЭЛА, к которым относятся:
- длительная неподвижность, например, при долгих перелетах или после операций;
- возраст старше 60 лет;
- ожирение;
- курение;
- наличие хронической сердечно-сосудистой недостаточности.
Диагностика ТЭЛА осуществляется с помощью различных методов, таких как:
- компьютерная томография (КТ) с контрастом;
- магнитно-резонансная томография (МРТ);
- венография;
- УЗИ вен нижних конечностей.
Профилактика ТЭЛА включает использование антикоагулянтов, особенно у пациентов с высоким риском, а также рекомендовано активное движение, особенно в послеоперационный период.
Важно обращать внимание на ранние симптомы и своевременно обращаться за медицинской помощью, так как ТЭЛА может иметь фатальные последствия.
Классификация
- эмболия долевых и сегментарных ветвей;
- массивная форма;
- эмболия мелких ветвей (двусторонняя).
- малая форма – проявляется одышкой;
- субмассивная – наблюдаются нормальные показатели артериального давления и одышка;
- массивная – проявляется тахикардией, гипотензией и обмороками;
- смертельная форма – более 75% кровотока перестает функционировать.
Клиническая картина варьируется в зависимости от размеров и количества затронутых артерий, скорости прогрессирования патологии и степени нарушений кровоснабжения легких. ТЭЛА может протекать как бессимптомно, так и приводить к внезапной смерти.
- Сердечно-сосудистые проявления: коронарная недостаточность, гипотония, тахикардия, грудные боли, аритмия, острое легочное сердце, гипоксия, кома, обмороки.
- Легочно-плевральные проявления: одышка, инфаркт легкого, кашель, кровохарканье, высокая температура.
- Лихорадочное состояние.
- Абдоминальный синдром: боли в области печени, рвота, болевые ощущения в правом подреберье.
- Иммунологический синдром: кожные высыпания, пульмонит.
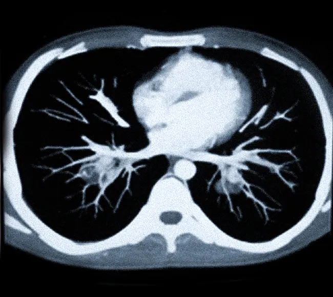
Что покажет КТ грудной аорты и легочной артерии
На изображениях, полученных в результате КТ грудной аорты и легочной артерии, можно увидеть анатомическое строение, конфигурацию, диаметр сосудов и структуру их стенок.

КТ грудной аорты и легочной артерии позволяет выявить:
- тромбы;
- опухолевые образования;
- пороки развития сосудов;
- атеросклеротические бляшки;
- травмы стенок сосудов.
Показания и противопоказания к проведению КТ легочной артерии
Показания для назначения КТ включают:
- аневризмы или стенозы сосудов;
- подозрение на наличие тромбов в легочной артерии;
- расслоение аорты;
- врожденные аномалии сосудов;
- недостаточность клапанов;
- аутоиммунные заболевания сосудов.

Как и у других методов диагностики, у КТ есть противопоказания:
- непереносимость йодсодержащих средств;
- беременность;
- вес свыше 150 кг;
- возраст до 12 лет;
- сахарный диабет;
- поражения почек.
Подготовка к проведению КТ ангиографии легочных артерий
Исследование предполагает использование контрастного вещества для более детальной оценки состояния сосудов. В процессе подготовки необходимо:
- Проконсультироваться с врачом о возможности проведения обследования, особенно если у пациента есть аллергия на контрастные вещества или другие противопоказания.
- Обсудить с врачом все принимаемые лекарства, так как некоторые из них могут повлиять на результаты исследования.
- Постараться избегать пищи и напитков за 4-6 часов до процедуры, если это рекомендовано врачом.
- Снять металлические предметы (изделия из золота, серьги, часы и т. д.) перед сканированием, так как они могут помешать получению четких изображений.
- Убедиться, что у вас есть результаты предыдущих исследований, если они имеются, так как это может помочь врачу в интерпретации результатов.
Как осуществляется КТ-ангиография легочных артерий?
В ходе процедуры пациенту вводят контрастное вещество, что способствует лучшей визуализации органов. Сканирование займет около 15 минут, а результаты будут готовы в течение суток. КТ-ангиография легочных артерий позволяет выявить такие заболевания, как эмболия легочной артерии, стеноз и аневризмы сосудов. Процедура является безболезненной и безопасной, однако у некоторых пациентов могут возникнуть временные реакции на контрастное вещество, такие как неприятные ощущения в теле или легкое тепло.
Важно также следить за самочувствием после процедуры. Если возникнут какие-либо необычные симптомы, такие как сильные головные боли, одышка или аллергические реакции, необходимо немедленно обратиться к врачу.
Лечение тромбоэмболии легочной артерии
Терапия ТЭЛА ориентирована на предотвращение дальнейшего увеличения тромба и образования новых. В лечение входят антикоагулянты и тромболитики, а также хирургические вмешательства для удаления сгустков.
Профилактика тромбоэмболии легочной артерии
Меры профилактики охватывают физическую активность, ношение компрессионного трикотажа и поддержание здорового образа жизни. В период длительных поездок необходимо пить достаточное количество жидкости и делать перерывы на движение.
Кроме того, следует избегать долгих периодов неподвижности, особенно при сидячем образе жизни, и рассматривать возможность выполнения легких физических упражнений, таких как растяжка или легкие прогулки. Также полезно проводить время на свежем воздухе и поддерживать нормальный вес тела, поскольку избыточная масса может увеличить риск тромбообразования.
Важно также следить за своим здоровьем и регулярно проходить медицинские обследования, особенно для людей с предрасположенностью к заболеваниям сердечно-сосудистой системы, таким как гипертония или диабет. В случае назначения препаратов, которые могут повысить риск тромбообразования, стоит обсуждать с врачом возможные профилактические меры.
Своевременное обращение к специалисту способствует сохранению здоровья и предотвращению осложнений. Если вы замечаете такие симптомы, как одышка, боль в груди или отеки ног, важно не затягивать с визитом к врачу.
Риски и последствия тромбоэмболии легочной артерии
Профилактика тромбоэмболии легочной артерии (ТЭЛА) включает в себя использование антикоагулянтной терапии, особенно у пациентов с повышенным риском, таким как послеоперационные или малоподвижные больные. Статистика демонстрирует, что без адекватной профилактики смертность достигает 30% в остром периоде.
ТЭЛА способна вызывать серьезные последствия: от острого легочного сердца до хронической легочной гипертензии. При этом каждый второй случай может привести к инвалидности. Этим причинам необходимо уделять особое внимание при наблюдении за пациентами.
Не менее важным аспектом являются последствия для социальной жизни и работоспособности. Степень потери функциональности напрямую зависит от тяжести заболевания и скорости оказания медицинской помощи. У больных с ТЭЛА наблюдается значительное снижение качества жизни из-за физической и эмоциональной нагрузки.
Среди долгосрочных последствий можно выделить риск повторной тромбообразования, который сохраняется у 30% больных в течение года после первого эпизода. Регулярное обследование и мониторинг состояния здоровых венозных систем помогут минимизировать этот риск.
Эмболия способствует возникновению посттромбофлебического синдрома, который характеризуется болевыми ощущениями, отеками и нарушением кровообращения в конечностях. Это ухудшает качество жизни и требует длительной реабилитации.
Не забывайте о необходимости соблюдать режим физической активности, особенно после эпизодов тромбообразования. Регулярные физические нагрузки способствуют улучшению кровообращения и снижению риска повторного заболевания.
Роль хирургического вмешательства при ТЭЛА
Хирургическое вмешательство при тромбоэмболии легочной артерии (ТЭЛА) необходимо рассматривать как жизненно важный метод у пациентов с высоким риском. В экстренных случаях, когда консервативные методы лечения оказываются неэффективными, стоит применять тромболизис или эмболэктомию. Эти процедуры позволяют быстро устранить препятствия в легочных артериях и восстановить кровоток.
Тромболизис эффективен в первые 48 часов после начала симптомов, что значительно увеличивает шансы на положительный исход. Кроме того, использование катетеров для механической эмболэктомии помогает пациентам с массивными или угрожающими жизням тромбоэмболиями, где необходимо быстрое вмешательство. Это особенно актуально для молодых и здоровых пациентов, у которых есть вероятность полного восстановления функции легких.
При выборе метода хирургического вмешательства учитываются такие факторы, как размер и локализация тромба, состояние сердечно-сосудистой системы и наличие сопутствующих заболеваний. Важно также оценивать риски, связанные с процедурой, включая возможность возникновения желудочно-кишечных или церебральных осложнений от тромболитиков.
Таким образом, хирургические методы играют ключевую роль в лечении ТЭЛА, особенно когда речь идет о срочных мерах по восстановлению проходимости легочных артерий. Эффективное вмешательство значительно повышает шанс на выживание и полноценное восстановление пациента.
