ММУ (микроскопическая магнитно-резонансная спектроскопия) на МРТ (магнитно-резонансной томографии) — это метод, позволяющий исследовать физические и химические свойства тканей организма на уровне молекул. Этот метод помогает выявить метаболические изменения в клетках, что может быть полезно для диагностики различных заболеваний, включая опухоли и неврологические расстройства.
ММУ используется в сочетании с традиционной МРТ для получения более детальной информации о состоянии ткани. В отличие от стандартных изображений, которые показывают структуру органов, ММУ предоставляет данные о химическом составе исследуемой области, что позволяет врачам лучше понять патологии и выбрать оптимальный курс лечения.
Исследование с использованием ММУ может быть проведено для анализа различных типов тканей, таких как мозг, костная и мягкотканевая структура. Это делает метод особенно ценным в онкологии и нейрологии, где важно определить характер изменений на молекулярном уровне.
Тем не менее, необходимо учитывать, что метод еще активно исследуется и не доступен во всех медицинских учреждениях. Также для полноценной интерпретации результатов требуется высокая квалификация специалистов и наличие соответствующего оборудования.
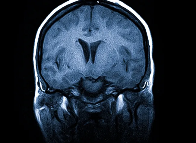
Магнитно-резонансная томография головного мозга с акцентом на мосто-мозжечковые углы
Проведение диагностики заболеваний центральной нервной системы (ЦНС) усложняется из-за расположения мозговых структур в черепной коробке и позвоночном канале. Магнитно-резонансная томография (МРТ) является самым эффективным методом инструментального обследования головного мозга. Процедура проходит без облучения и не требует инвазивных действий, за исключением случаев, когда необходимо введение контрастного вещества при проведении МРТ с усилением.

Для диагностики патологий ЦНС, находящихся в области ствола, рекомендуется проводить МРТ головного мозга с акцентированным исследованием мосто-мозжечкового угла (ММУ). Это сканирование позволяет оценить состояние указанного участка и выявить возможные патологии нервных корешков.
Что можно увидеть на МРТ мосто-мозжечкового угла?
В ходе магнитно-резонансной томографии создаётся серия изображений срезов, выполненных с интервалом около 1 миллиметра. Исследование осуществляется в аксиальной, сагиттальной и фронтальной плоскостях. Используя современное программное обеспечение, специалист может сформировать трёхмерную модель головного мозга, отображающую расположение структур, нервов и сосудов. Эта 3D-модель позволяет обнаружить даже незначительные изменения в анатомии мозга и оценить, как патология взаимодействует с окружающими тканями.

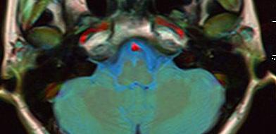
Мосто-мозжечковый угол представляет собой ограниченное пространство, расположенное рядом с продолговатым мозгом, открытое к передней части, к основанию черепа и задней черепной ямке. В нижней части расположена паутинная оболочка, а пространство заполнено цереброспинальной жидкостью (латеральная цистерна).
Это узкое пространство ограничено продолговатым мозгом, мозжечком и Варолиевым мостом. В данной области находятся корешки черепно-мозговых нервов, таких как преддверно-улитковый, лицевой, тройничный и отводящий. В непосредственной близости проходят передняя нижняя мозжечковая артерия и лабиринтная артерия, а Вены, впадающие в верхний каменистый синус.
- состояние церебральных структур, формирующих интересующую область;
- характеристика расположения и строения сосудов;
- состояние корешков черепно-мозговых нервов (от V до XI пары);
- воспалительные, опухолевые и другие патологические процессы;
- аномалии структуры данного участка головного мозга.
МРТ обладает высокой информативностью для анализа тканей, содержащих большое количество жидкости. При проведении исследования с акцентом на мосто-мозжечковый угол получают чёткие изображения церебральных структур. Для повышения информативности метода можно использовать контрастирование.

Контрастный раствор заполняет просвет артерий и вен, а также межклеточные пространства в исследуемом участке, благодаря чему на снимках чётко виден рисунок сосудистой сети, а также аномалии (например, петли, анастомозы, аневризмы и др.). Также при наличии вазоневрального конфликта можно визуализировать зону компрессии корешка черепно-мозгового нерва.
Использование контрастного вещества позволяет выявить опухоли диаметром менее 3 мм. Ткани опухоли накапливают контраст, и в зависимости от степени их злокачественности сосудистая сеть имеет характерный рисунок. На основании полученных изображений рентгенолог может предположить природу процесса, однако окончательный диагноз ставит лечащий врач.
Метод МРТ позволяет идентифицировать кисты, абсцессы, гематомы и другие образования с жидким содержимым, а также показывает очаги демиелинизации нервных волокон.
Кроме того, МРТ мосто-мозжечкового угла может помочь в оценке состояния функции слуха и равновесия, так как непосредственно связано с VIII черепно-мозговым нервом и его ветвями. Изображения также могут раскрыть наличие неврином, которые часто формируются в этой области и могут вызывать потерю слуха и другие неврологические симптомы.
Для полноты анализа очень важно учитывать клинические проявления, которые могут находиться в корреляции с патологическими изменениями, выявляемыми на МРТ. Специалисты часто рекомендуют дополнительные исследования, такие как аудиометрия или электроэнцефалография, для более детального выявления причин возникновения симптомов.

Что собой представляет мосто-мозжечковый угол и какие патологии там диагностикуют?
Мосто-мозжечковый угол (ММУ) является пересечением Варолиева моста, продолговатого мозга и мозжечка. Главной причиной для обследования данной области часто выступает сенсоневральная тугоухость. ЛОР-методы позволяют точно определить, связана ли тугоухость с поражением нерва в области ММУ или находится в структурах уха. В последнем случае чаще применяется компьютерная томография (КТ).
Наиболее распространённые опухоли в этой области – это невриномы (шванномы) и менингиомы. При наличии неврином может наблюдаться фрагмент опухоли во внутреннем слуховом проходе, что легко распознать, особенно на МРТ с использованием контраста.

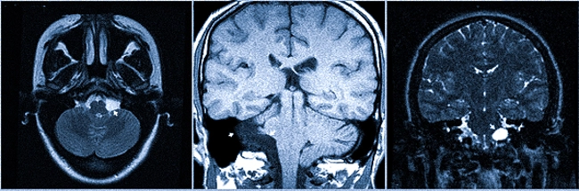
МРТ головного мозга. Т1-взвешенный аксиальный снимок (часть). Мосто-мозжечковые углы в норме. Цветовая коррекция изображения.

МРТ головного мозга. Т1-взвешенное обследование с контрастом. Шваннома с компрессией четвёртого желудочка.

МРТ головного мозга. Шваннома с компонентом внутри каналца.
В области верхушки пирамиды височной кости могут быть обнаружены опухоли эндолимфатического мешка, холестеатомы, параганглиомы, липомы и аневризмы внутренней сонной артерии.
Опухоли эндолимфатического мешка, как правило, доброкачественные, медленнорастущие и могут проявляться с обеих сторон, что происходит на фоне болезни Гиппель-Линдау, относящейся к факоматозам. На КТ можно заметить эрозию костной ткани верхушки пирамиды, а на МРТ с контрастированием образование хорошо визуализируется.

МРТ. Т1-взвешенное изображение с контрастированием. Опухоль эндолимфатического мешка.
Холестеатомы (эпидермоидные кисты) часто встречаются в области верхушки пирамиды, и их отображение на МРТ зависит от наличия холестерина.

МРТ. Т2-взвешенное обследование. Холестеатома.
Липомы обычно ярко проявляются на Т1- и Т2-взвешенных снимках головного мозга.

МРТ головного мозга. Т1-взвешенное обследование. Липома.
Редко встречающиеся хондросаркомы могут разрушать верхушку пирамиды; это Визуализируется на МРТ и КТ.
МРТ головного мозга. Т2-взвешенное обследование. Хондросаркома

Процедура МРТ мосто-мозжечковых углов без применения контраста не требует специальной подготовки. Исследование с контрастом проводится натощак, чтобы избежать возникновения тошноты и рвоты. При наличии предрасположенности к аллергии перед процедурой обязательно проводится аллергологическое тестирование на контрастное средство.
Пациента укладывают на стол томографа, который затем перемещается внутрь устройства. Для защиты слуха от громких звуков, создаваемых аппаратом, пациенту предлагают использовать беруши. Если проводится обследование с контрастом, раствор, содержащий соли гадолиния, вводится внутривенно.
Пациенты, страдающие эпилепсией, судорожными атаками, клаустрофобией или не способные сохранять неподвижность, могут пройти диагностику под лёгким наркозом. Маленькие дети также могут проходить процедуру во сне.
Во время 20 минут, пока пациент находится внутри аппарата, на него воздействуют магнитные поля и радиоволны. Изготавливается множество снимков в различных проекциях, которые затем обрабатываются на компьютере с использованием специального ПО. В результате на экран выводятся чёрно-белые изображения, отразающие детали мосто-мозжечкового угла и окружающих структур.
Итоговые результаты представляют собой набор снимков в различных проекциях и диск с данными стандартов диагностики. На основе полученной информации врач составляет заключение по данным МРТ.
Что испытывает пациент во время обследования?
Процедура без введения контрастных средств не вызывает боли или дискомфорта. Некоторые пациенты могут испытывать раздражение от шума, исходящего от томографа. Однако это состояние обычно временное, и с ним можно справиться с помощью наушников или специальной маски для ушей, если они доступны в медицинском учреждении.
При проведении исследования с контрастом могут наблюдаться ощущения жара, головокружение, тошнота, а также металлический вкус во рту. Эти реакции обычно кратковременны и проходят вскоре после завершения введения контрастного вещества. Если пациент почувствует себя плохо, он имеет возможность нажать кнопку и приостановить обследование. Персонал клиники всегда готов помочь и контролировать состояние пациента на протяжении всей процедуры.
Предлагаемые услуги МРТ
- МРТ головы
- МРТ головного мозга
- МРТ гипофиза
- МРТ орбит
- МРТ придаточных пазух носа
- МРТ позвоночника
- МРТ шейного отдела
- МРТ грудного отдела
- МРТ пояснично-крестцового отдела
- МРТ копчика
- МРТ сосудов головного мозга
- МРТ сосудов шеи
- МРТ суставов
- МРТ плечевого сустава
- МРТ тазобедренного сустава
- МРТ коленного сустава
- МРТ ВНЧ сустава
- МРТ локтевого сустава
- МРТ лучезапястного сустава
- МРТ мягких тканей
- МРТ органов брюшной полости
- МРТ органов малого таза
- МРТ молочных желез
- МРТ мошонки
- МР-холангиография
- МРТ ЦНС
- МРТ-скрининг
- МРТ с контрастированием
Перед проведением обследования рекомендуется проконсультироваться с врачом, который даст рекомендации относительно подготовки и возможных противопоказаний к процедуре. Важно сообщить врачу о наличии аллергий, особенно на контрастные вещества, а также о хронических заболеваниях и принимаемых медикаментах.
МРТ является неинвазивным и безопасным методом диагностики, который позволяет получить высококачественные изображения внутренних органов и тканей. Базируясь на результатах обследования, врач сможет поставить точный диагноз и назначить необходимое лечение.
Подготовка пациента к МРТ головного мозга
Перед процедурой магнитно-резонансной томографии, необходимо выполнить несколько важных шагов. Убедитесь, что вы ознакомлены со всеми противопоказаниями, а также описанием процедуры.
За 24 часа до обследования исключите из рациона продукты, способные вызвать метеоризм, такие как бобовые, капуста, газированные напитки. Это снизит вероятность неудобств во время исследования.
| Рекомендация | Описание |
|---|---|
| Одежда | Наденьте свободную, удобную одежду без металлических элементов. Это уменьшит риск интерференции со стороны металлических предметов. |
| Металлические предметы | Снимите все металлические украшения, часы и прочие аксессуары. Если у вас есть имплантаты, обязательно сообщите о них врачу. |
| Лекарства | Продолжайте принимать прописанные медикаменты, если не указано иное врачом. Позаботьтесь о том, чтобы взять с собой список препаратов. |
| Расслабление | Перед процедурой постарайтесь расслабиться. Если у вас есть тревожность, обсудите с врачом возможность применения легкого седации. |
При наличии аллергий на контрастные вещества, сообщите об этом медицинскому работнику. Обязательно уточните, если вы беременны или кормите грудью.
Необходимо прибыть на обследование с опозданием не менее чем за 15-20 минут для заполнения необходимых документов и подготовки к процедуре.
Интерпретация результатов МРТ: советы для врачей
При интерпретации изображений, полученных в ходе магнитно-резонансной томографии, важно учитывать анатомические особенности пациента. Сравнение с предыдущими исследованиями помогает выявить динамику заболеваний и скорость их прогрессирования.
Необходимо обращать внимание на контрастность изображений. Нечеткие зоны могут указывать на наличие опухолей или других аномалий, однако недостаток контрастности также может быть следствием неправильной настройки аппарата или артефактов. В таких случаях рекомендуется повторное изучение или использование дополнительных методов визуализации.
Структурные изменения в мозговой ткани следует анализировать в соответствии с возрастом и полом пациента. У пожилых людей более вероятно наличие возрастных изменений, таких как атрофия коры, что необходима коррекция диагностики.
Важно учитывать возможность наличия артефактов, вызванных движением пациента, неправильной работой оборудования или наличием металлоконструкций. Если изображения неясны, целесообразно повторить МРТ с минимизацией этих факторов.
Обязательно обсуждайте результаты с коллегами: мнения других специалистов могут помочь более полно интерпретировать данные и избежать ошибок. Обсуждение также способствует обмену опытом и повышение качества диагностики.
Не забывайте о клиническом контексте: результаты исследования должны всегда рассматриваться в сочетании с симптомами пациента и другими данными лабораторных и инструментальных исследований. Это поможет сформировать полное представление о состоянии пациента и принять правильное решение о дальнейшем лечении.
Современные технологии МРТ: новые возможности и методы
Используйте методы функциональной магнитно-резонансной томографии (фМРТ) для анализа активности мозга. Эта методика позволяет исследовать зоны мозга, отвечающие за различные функции, и выявить аномалии. Для повышения точности результатов рекомендуется комбинировать фМРТ с данными анатомической МРТ.
Применение мультипараметрической МРТ (mpMRI) открывает новые горизонты в диагностике онкологических заболеваний, особенно в области простаты. Эта техника позволяет детализировать информацию о типах тканей, помогая специалистам ставить более точные диагноза и вырабатывать тактики лечения.
Имплементация искусственного интеллекта в процессы обработки изображений МРТ значительно ускоряет и облегчает интерпретацию данных. Программное обеспечение, использующее алгоритмы машинного обучения, может автоматически идентифицировать паттерны и отклонения, что способствует улучшению качества диагностики.
Важно обратить внимание на технологию динамической контрастной МРТ, которая позволяет изучать процессы кровотока в реальном времени. Этот метод полезен в выявлении ишемий и оценке эффективности лечебных мероприятий.
Адаптация технологий 3D-визуализации предлагает уникальные способы презентации данных для врачей. Использование трехмерных моделей органов и тканей может повысить понимание патологии и улучшить планирование хирургических вмешательств.
Среди новых технологий следует отметить радиочастотное ускорение, которое значительно сокращает время сканирования. Это особенно актуально для детей и пациентов с клаустрофобией, позволяя им быстрее пройти процедуру и снизить уровень стресса.
Используйте стандартные протоколы при работе с различными типами аппаратов МРТ, что обеспечит одинаковую качество изображений независимо от оборудования. Это позволит поддерживать высокий уровень диагностики и упрощает обмен информацией между учреждениями.
Частые ошибки при интерпретации МРТ и как их избежать
Для снижения вероятности ошибок в интерпретации МРТ, необходимо придерживаться системного подхода. Прежде всего, важно учитывать меры предостережения, касающиеся качества снимков. Внимание к артефактам изображения и техническим аспектам сканирования существенно влияет на окончательный диагноз.
Следующие рекомендации помогут минимизировать риски:
- Тщательная проверка протоколов сканирования: Убедитесь, что выбранные параметры соответствуют исследуемой области и предполагаемому диагнозу.
- Сравнение с предыдущими исследованиями: При наличии исторических данных о пациенте, сопоставьте новые изображения с предыдущими МРТ для выявления динамики изменений.
- Мультидисциплинарный подход: При необходимости привлеките специалистов смежных областей, таких как неврологи или онкологи, для более точной оценки результатов.
- Идентификация артефактов: Будьте внимательны к возможным искажениям, вызванным пациентом или технологиями, и учитывайте их при анализе изображения.
- Фокус на клинические проявления: Связывайте результаты МРТ с симптомами пациента. Информация о жалобах может помочь отключить бесполезные находки.
Ошибки также могут происходить при идентификации патологий. Элементарная ошибка в интерпретации может привести к неправильному лечению. Применяйте стандартные классификации для обозначения находок и старайтесь применять лексику, понятную и доступную для всех специалистов.
При необходимости делайте повторные исследования, если состояние пациента не укладывается в рамки предположений. Это может существенно улучшить план лечения.
Проверка и подтверждение диагнозов должны быть неотъемлемой частью процесса интерпретации. Не допускайте излишней самоуверенности, всегда ставьте под сомнение свои выводы и придерживайтесь научных основ.
Роль МРТ в планировании лечения опухолей головного мозга
Магнитно-резонансная томография (МРТ) является ключевым инструментом для определения тактики лечения опухолей головного мозга. Без точного изображения, получаемого с помощью МРТ, невозможно выбрать оптимальный подход к терапии.
Первостепенное значение имеет оценка границ опухоли. Качественное изображение помогает установить, насколько опухоль прорастает в окружающие ткани, что критично для хирургического вмешательства. Важно обратить внимание на наличие сопутствующих изменений, таких как отек мозга или сопутствующие патологии, которые также могут влиять на выбор метода лечения.
Кроме того, использование функциональной МРТ предоставляет информацию о локализации жизненно важных зон, таких как области, ответственные за двигательные функции, речь и зрение. Эта информация особенно актуальна для нейрохирургов, чтобы минимизировать риск осложнений при операциях.
Современные методики МРТ, такие как ДТ- и ФДГ-ПЭТ, усиливают возможности визуализации и помогают различить опухолевую ткань от воспалительных изменений. Применение контрастных веществ в процессе МРТ также способствует лучшей оценке vaskularisasi опухоли, что может напрямую влиять на эффективность терапии.
При обсуждении плана лечения важно учитывать не только характер опухоли, но и ее динамику, что возможно благодаря регулярному мониторингу с помощью МРТ. Повторные снимки позволяют оценить ответ на терапию, а Выявить возможные рецидивы на ранних стадиях.
Эти аспекты подчеркивают необходимость интеграции МРТ в весь процесс диагностики и лечения опухолей головного мозга, что обеспечивает более точное и персонализированное лечение, а также повышает шансы пациента на успех в борьбе с болезнью.
